
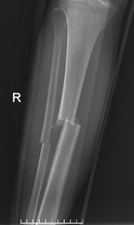
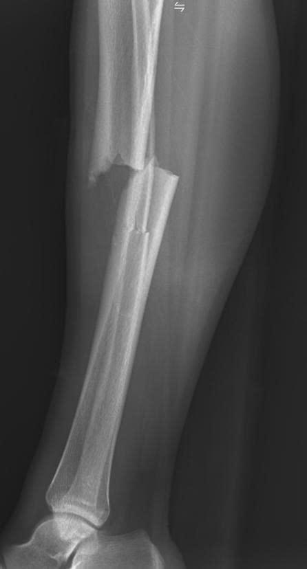
Vừa qua, các bác sĩ khoa Ngoại tổng hợp - Bệnh viện Đa khoa Mê Linh đã tiếp nhận và phẫu thuật thành công cho một trường hợp người bệnh bị gãy hở độ I hai xương cẳng chândo tai nạn giao thông. Đây là dạng chấn thương nghiêm trọng, tiềm ẩn nguy cơ nhiễm trùng và ảnh hưởng lâu dài đến khả năng vận động nếu không được xử trí kịp thời, đúng chuyên môn.
Theo thông tin, người bệnh được gia đình đưa đến cấp cứu vào khoảng 22 giờtrong tình trạng đa chấn thương sau tai nạn giao thông. Ngay khi tiếp nhận, các bác sĩ đã nhanh chóng tiến hành thăm khám, đánh giá toàn diện các tổn thương theo đúng quy trình cấp cứu chấn thương, đồng thời thực hiện các cận lâm sàng cần thiết để xác định chính xác tình trạng gãy xương.
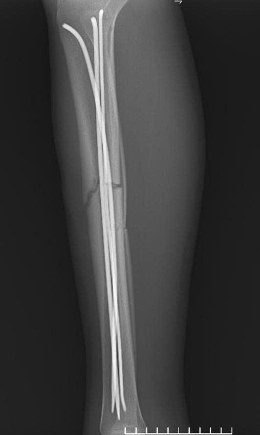
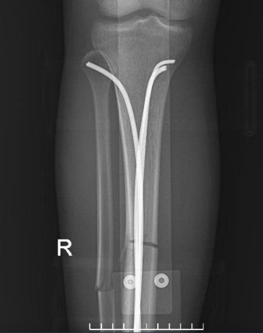
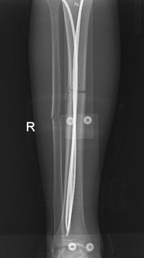
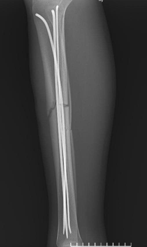
Sau hội chẩn chuyên môn, người bệnh được chỉ định phẫu thuật kết hợp xương dưới hướng dẫn của hệ thống màn hình tăng sáng (C-arm). Đây là thiết bị hiện đại hỗ trợ bác sĩ quan sát rõ vị trí ổ gãy trong suốt quá trình phẫu thuật, giúp nắn chỉnh xương về đúng trục giải phẫu và đặt dụng cụ cố định xương một cách chính xác, hạn chế tối đa sang chấn cho người bệnh.
Ca phẫu thuật được tiến hành ngay trong đêm và diễn ra thuận lợi. Các bác sĩ đã cố định vững chắc ổ gãy, xử trí tốt phần mềm và vết thương hở, tạo điều kiện thuận lợi cho quá trình liền xương và phục hồi chức năng vận động. Sau 6 ngày điều trị, tình trạng người bệnh ổn định và được xuất viện theo đúng dự kiến.
Các bác sĩ cho biết, việc triển khai và ứng dụng thường quy các kỹ thuật chấn thương chỉnh hình hiện đạiđã góp phần nâng cao chất lượng điều trị, đảm bảo an toàn và mang lại hiệu quả phục hồi tốt cho người bệnh.
Hiện nay, với hệ thống trang thiết bị ngày càng được đầu tư đồng bộ cùng đội ngũ y bác sĩ có kinh nghiệm, đồng thời duy trì sự phối hợp chuyên môn chặt chẽ với các bệnh viện tuyến trên, Bệnh viện Đa khoa Mê Linhđủ năng lực tiếp nhận và điều trị hiệu quả nhiều bệnh lý khác nhau. Bệnh viện luôn nỗ lực nâng cao chất lượng dịch vụ, đáp ứng nhu cầu chăm sóc sức khỏe của người dân trên địa bàn và các khu vực lân cận.





Nguồn: BS Thắng - Khoa Ngoại Tổng hợp